Key Points
- Important Tips to Attempt Competency-Based Question
- CBSE: 50% of the questions as competency-based questions in 2025 Board Exams
- Get Multiple Choice Question and Subjective CBQs from Heredity for 2025 Exams
CBSE 2024-25 Competency-Based Questions With Answers: The Central Board of Secondary Education (CBSE) has now updated its question paper design. The board will now prioritize competency-based questions (CBQs) to foster a real-life understanding in students, enabling them to tackle and resolve practical problems. The board has decided to keep 50% of the questions as competency-based questions that will be distributed throughout the sections of the question paper.
The CBSE Class 10 Chapter 8 Heredity CBQs are provided for the 2025 board examination. These questions are designed by CBSE experts and are published on the academic website of CBSE. Scroll down and solve the questions. The answers are also given to check your knowledge and level of preparation.
Get: NCERT Class 10 Lab Manuals PDF
CBSE Class 10 Science Heredity Competency-Based Questions
There are five questions on Heredity are given which are provided by CBSE in its PDF released on its official website. Those five questions are mentioned here with the answers. Scroll and download their PDF for better understanding.
| Q. No | Question | Marks |
| Multiple Choice Question | ||
| Q.1 | Manisha is an Indian actress. She was born in Delhi to a homemaker mother and an engineer father. She is around 5 feet tall. She has naturally curly hair. She has trained in contemporary and ballet dancing. Which of these is MOST LIKELY to be true about her children?
| 1 |
| Q.2 | Study the diagrams given below that depict the analogy/homology of organs and answer the questions that follow. ![]() Which diagram represents evolution of homologous organs?
| 1 |
| Free Response Question/ Subjective Question | ||
| Q.3 | The farmer concludes that the allele for green seeds shows dominance over that of yellow seeds. Is he right? Justify your answer. | 1 |
| Q.4 | What is the genetic basis of the increase in number of the black peppered moth after the Industrial Revolution? | 1 |
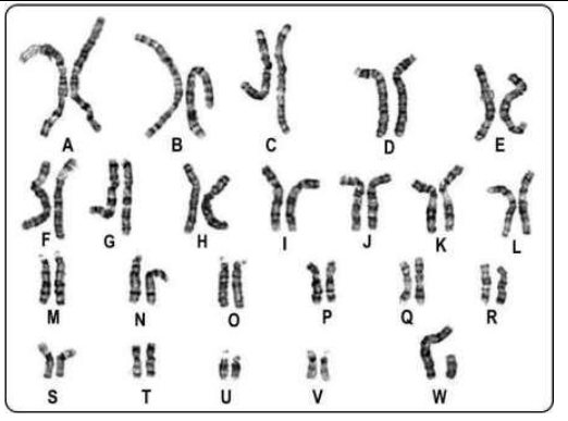
| Q.5 | The picture below is of the chromosome pairs present in a cell of a person. | 2 |
![]()
| ||
Check:
Answer Key & Marking Scheme
| Q. No | Answers | Marks |
| Q.1 | B. They may grow up to have curly hair. | 1 |
| Q.2 | A. only P | 1 |
| Q.3 | Yes, he is right. [0.5 marks] Since the offspring pod has all green seeds, the allele for green seeds is dominant even if present in heterozygous state. [0.5 marks] | 1 |
| Q.4 | During sexual reproduction, the genes determining darker colour of moths get selected and their frequency increased in the population. | 1 |
| Q.5 |
| 2 |
| Download CBSE Class 10 Science Heredity Competency-Based Questions PDF |
Tips For Answering Competency-Based Questions
Here are some simple tips to help you with competency-based questions:
- Read the question carefully to understand what it’s asking. These questions often focus on how you can apply your knowledge in real-life situations.
- Instead of just memorising facts, think about how you can use what you've learned to solve the problem or explain the scenario.
- For longer questions, break them down into smaller parts and address each step clearly and logically.
- In multiple-choice questions, remove the wrong answers to improve your chances of choosing correctly.
- Don’t rush; take your time to think through each solution.
Also Read:


Comments
All Comments (0)
Join the conversation